• 草加駅西口より徒歩3分
  • 埼玉県草加市氷川町2144-11
    アークプラザⅡ 3F

検便で要精密検査
(便潜血陽性)

目次

検便で要精密検査
(便潜血陽性)

便潜血陽性とは

便潜血陽性とはのイメージ画像

健康診断や大腸がん検診で行われる「検便」は、正式には便潜血検査といいます。

これは便の中に目には見えないわずかな量の血液が混じっていないかを調べる検査です。

この検査で血液が検出された状態を『便潜血陽性』といいます。

「陽性」と聞くとおどろかれる方も多いですが、これは必ずしも「がん」や「重大な病気」があるという意味ではありません。

便潜血陽性は、あくまで“何らかの理由で消化管(特に大腸)に出⾎の可能性がある”というサインに過ぎません。

便潜血陽性の原因

便に血が混じる原因は、多くありますが、ここでは代表的なものを解説していきます。

痔(じ)

便潜血陽性の原因のイメージ画像

痔の出血の場合は、内痔核か裂肛が原因のことがほとんどです。

  • 内痔核(いぼ痔):排便時にいきむことでうっ血して出血や、硬い便などでこすれて出血する
  • 裂肛(切れ痔):排便時に硬い便で切れる

痔からの出血は便潜血陽性の主な原因の1つです。

ただし、「痔もあり腸の病気もある」というケースもありますので、痔があっても腸の病気がないかを大腸内視鏡検査をして調べる必要はあります。

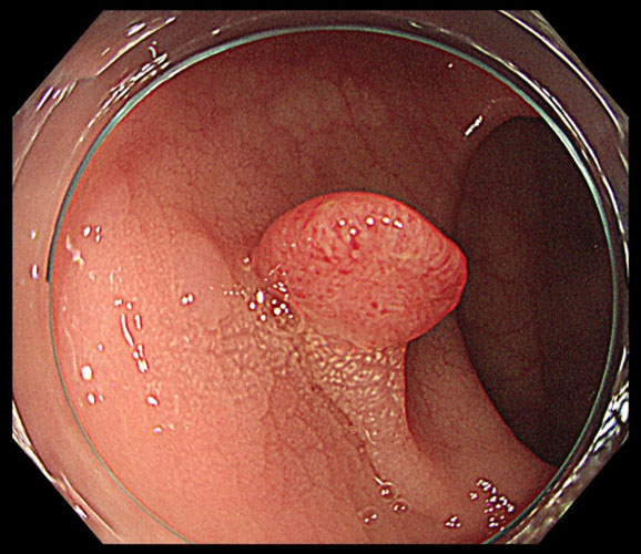
大腸ポリープ

大腸ポリープ(腺腫)の内視鏡検査写真のイメージ画像
大腸ポリープ(腺腫)の内視鏡検査写真

大腸ポリープは、大腸の粘膜にできるできものです。

ほとんどは良性ですが、一部は大きくなり出血を伴うことがあります。

ポリープの中には、放置するとがん化する可能性がある「腺腫」という病変もあり、がん化する前に大腸内視鏡での切除が推奨されます。

炎症性腸疾患

潰瘍性大腸炎の内視鏡検査写真のイメージ画像
潰瘍性大腸炎の内視鏡検査写真

潰瘍性大腸炎やクローン病などの炎症性腸疾患では、大腸に炎症が起こることにより粘膜から出血し、便に血液が混じることがあります。

炎症性腸疾患は若年層に多く、下痢や腹痛を伴うことが多いのですが、初期には無症状で便潜血のみ陽性となるケースもあります。

大腸がん

早期大腸がんの内視鏡検査写真のイメージ画像
早期大腸がんの内視鏡検査写真

大腸がんは進行するまで自覚症状がほとんどなく、便潜血検査で早期に発見されるケースが多くあります。

がんからのわずかな出血が便に混じり、便潜血陽性となることで早期の状態で発見されることもあれば、発見時にはすでに進行がんになっていることもあります。

写真のような早期のがんであれば、内視鏡での切除が可能ですが、進行がんの場合は手術が必要となります。

少しでも早期に発見できるように、便潜血陽性の時は大腸内視鏡検査を必ず受けましょう。

便潜血陽性になったらどうする?

便潜血陽性と結果が出たら、次に行うべきは「精密検査=大腸内視鏡検査」です。

ここで最も重要なのは、“放置しないこと”です。

「痔があるからきっとそのせい」
と自己判断してしまう方がいますが、痔と大腸がんは同時に存在することもあります。

「痔がある=がんではない」、とは限りません。

また、便潜血陽性の方全員にがんがあるわけではありませんが、がんを見逃さないための検査として便潜血検査があることを思い出してください。

便潜血陽性の回数と大腸がんの可能性

進行大腸がんの内視鏡検査写真のイメージ画像
進行大腸がんの内視鏡検査写真

便潜血陽性の回数と大腸がんの確率は関係性があります。

  • 便潜血1回だけ陽性のときの大腸がんの確率・・・約2〜3%
  • 便潜血2回とも陽性のときの大腸がんの確率・・・約10〜14%

さらに、便潜⾎陽性の場合に、早期がん/進⾏がんの確率は、

  • 便潜血1回陽性のときの進行大腸がんの確率・・・約20%
  • 便潜血2回陽性のときの進行大腸がんの確率・・・約55%

と、便潜血が2回陽性の場合は、約半数が進行大腸がんで発見されます。

便潜血が2回陽性の場合は、できるだけ早期に大腸内視鏡検査を受けることをお勧めします。

便潜血陽性の場合の精密検査

大腸内視鏡検査

実際の大腸内視鏡検査の様子のイメージ画像
実際の大腸内視鏡検査の様子

最も信頼性が高く推奨されている精密検査が「大腸内視鏡検査」です。

内視鏡を使って肛門から盲腸までの大腸全体を直接観察することができ、ポリープやがん、炎症、出血部位などを正確に確認できます。

必要があればその場で組織を採取(生検)したり、ポリープを切除することも可能です。

大腸内視鏡検査のメリットは、診断と治療が同時にできることです。

検査中にがんの元になる可能性のポリープがあれば、その場で確実に切除することで治療が完了します。

「大腸内視鏡検査は痛いと聞いていて不安です」
と、検査を受けるのをためらってなかなか検査を受けられない方もいらっしゃいます。

検査の時には、鎮静剤や鎮痛剤を適切に使うことにより、ウトウトした状態で検査を受けることができ、検査中の不安やお腹の張りやつらさを抑えることができます。

大腸CT検査(CTコロノグラフィー)

CTを使って大腸を3Dイメージでビジュアル化し、大腸に病変があるかどうかを調べる検査です。

6mm以上のポリープの診断に適していて、内視鏡が難しい方や内視鏡検査が不安な方に選ばれることがあります。

しかし、ポリープが見つかってもその場で切除ができないのが最大のデメリットです。

草加西口大腸肛門クリニックでの【便潜血陽性】のときの診療

草加西口大腸肛門クリニックでの【便潜血陽性】のときの診療のイメージ画像

当院では検診で『便潜血陽性』となり、来院される方も多くいらっしゃいます。

問診で、目に見える出血や腹痛、便通異常の有無などをおうかがいして、大腸内視鏡検査の予定を立てます。

検査では鎮静剤・鎮痛剤を使用することで、不安やつらさを軽減することが可能です。

『便潜血陽性』の際に大事なことは、精密検査として大腸内視鏡検査を必ず受けることです。

決して、検査を受けない理由を探さないでください。

便潜血1回陽性の時の大腸がんの確率は約3%、便潜血2回陽性の時の大腸癌の確率は約10~15%です。

高くはないですが、低くはないありえる数字です。

便潜血陽性は大腸がんを早期発見・早期治療できるチャンスです。

さらに、大腸がんの元になるポリープがあった場合は、内視鏡でその場で切除することにより大腸がんの予防につながります。

『便潜血陽性』になった時は、少し勇気を出して、クリニックを受診して相談をしてみてください。

私たちスタッフが全力でサポートいたします。

便潜血陽性に関するQ&A

「便潜血陽性=がん」ですか?
必ずしもがんではありません。痔やポリープでも陽性になることがあります。
1回だけ陽性なら様子を見てもいいですか?
いいえ。便潜血が1回陽性のときの大腸がんの確率は約3%です。1回でも陽性が出たら必ず内視鏡検査を受けましょう。
陽性だったけど症状がありません。受診は必要ですか?
はい。大腸がんは早期には症状が出にくいため、症状がなくても大腸内視鏡検査による大腸内視鏡検査を受けましょう。
陽性になったらもう一度再検査(便潜血検査)をしてもいいですか?
便潜血検査の再検査の必要はありません。たとえ再検査で陰性になったとしても、一度陽性になったという事実はありますので、必ず精密検査の大腸内視鏡検査を受けてください。
便に目に見える血がなかったのに、陽性になるのはなぜですか?
便潜血検査はごく微量の血液も検出するため、肉眼で見えなくても陽性になります。
便潜血検査前に食事の制限は必要ですか?
一般的には食事制限は不要です。日常通りで大丈夫です。
大腸内視鏡検査は痛いですか?
鎮静剤と鎮痛剤を適切に使うことによって、ウトウトした状態で検査を受けることができます。
大腸ポリープが見つかったらどうするの?
ある程度の大きさと個数までは、その場で日帰りでの内視鏡切除が可能です。ポリープの中には大腸がんの元になるものもあるため、切除をすることによりがんの予防にもつながります。
大腸内視鏡検査を受けられない場合は?
ご高齢や持病の関係で大腸内視鏡検査を受けることが難しい場合は、医師と相談し大腸CT検査など他の方法による精密検査を検討します。
便潜血陽性のときは何科を受診したらいいですか?
大腸内視鏡検査と肛門診察の両方ができる大腸肛門科がベストです。近隣にない場合は、消化器内科など大腸内視鏡検査ができる医療機関を受診してください。
048-951-0421
  • Instagram
  • LINE
診療内容
肛門科、大腸カメラ、胃カメラ、消化器科、大腸がん検診
院長
金澤 周
(医学博士/日本消化器外科学会 消化器外科専門医・指導医/日本大腸肛門病学会 大腸肛門病専門医・指導医/日本消化器内視鏡学会 消化器内視鏡専門医)
住所
〒340-0034
埼玉県草加市氷川町2144-11
アークプラザⅡ 3F
最寄駅
東武スカイツリーライン「草加駅」より
徒歩3分
休診日
木曜日・日曜日・祝日・振替休日
  • ●…8:50〜12:00
  • 受付時間以外はエレベーターは動きませんのでご了承ください。
  • 当院は『完全予約制』です。来院の際にはWEBから『診察予約』をおとりください。
  • 内視鏡検査の予約の際にはお時間がかかります。院内滞在時間短縮のため、事前に『大腸内視鏡検査前の下剤の飲み方』の動画をご覧になってからご来院ください。
受付時間 日祝
9:50~12:00
16:50~18:30

お会計は現金または以下クレジットカードによる決済が可能です。

  • Visa
  • Mastercard