胃食道逆流症
目次
胃食道逆流症とは?
胃食道逆流症(Gastroesophageal Reflux Disease:GERD)は、胃の内容物が食道に逆流し、胸やけや呑酸(酸っぱい液体が口に上がる感覚)などの症状を引き起こす病気です。
特に横になると逆流が起きやすく、しばしば夜中に目をさますことがあります。
胃食道逆流症と逆流性食道炎の違いは?
逆流性食道炎とは、GERDの中でも食道粘膜に炎症が見られるケースを指します。
つまり、GERDは広い概念であり、逆流性食道炎はその一部であるといえます。
非びらん性胃食道逆流症(NERD)と呼ばれる、炎症がないが症状を呈するタイプも含まれます。
日本では食生活の欧米化や高齢化の影響で胃食道逆流症の患者数が増加しており、特にびらん性GERDの有病率は約10%とされています。
胃食道逆流症の原因
正常な人の場合は、食道と胃のつなぎめの下部食道括約筋(LES)という筋肉や、横隔膜という筋肉がしっかりしていることにより、胃酸の逆流を防いでいます。
また、お腹の中からは圧力(腹圧)がかかりますが、下部食道括約筋があることで、腹圧に負けず胃酸の逆流を防いでくれています。
ところが、何らかの原因により、逆流の増加や胃酸の増加が起こることで、胃食道逆流症となります。
胃食道逆流症の主な原因には以下のものがあります。
下部食道括約筋(LES)の機能低下
食道と胃の境界にある下部食道括約筋(LES)が正常に機能しないと、胃酸が逆流しやすくなります。
LESの機能低下は加齢や喫煙、アルコール摂取、食生活の乱れによって悪化します。
食道裂孔ヘルニア
食道裂孔ヘルニアは、胃の一部が横隔膜を越えて胸腔に入り込む状態です。
この状態では下部食道括約筋の機能が低下し、胃酸の逆流が起こりやすくなります。
肥満
腹圧の上昇により胃が圧迫され、胃酸が食道へ逆流しやすくなります。
特に内臓脂肪が多い人はリスクが高いとされています。
食生活の影響
脂っこい食事、チョコレート、カフェイン、アルコール、炭酸飲料、スパイシーな食べ物などが胃酸の分泌を促進し、逆流のリスクを高めます。
喫煙と飲酒
喫煙は下部食道括約筋の機能を低下させるだけでなく、胃酸の分泌を増加させます。
また、アルコールも胃酸分泌を促進するため、過度の飲酒はリスク要因となります。
妊娠
妊娠することにより腹圧が上昇し、胃酸が逆流しやすくなります。
胃食道逆流症の症状
胃食道逆流症の主な症状には以下のようなものがあります。
胸やけ
胸の中央部に焼けるような不快感や痛みが生じるのが典型的な症状です。
呑酸(どんさん)
酸っぱい液体が喉や口まで逆流し、不快感を伴います。
嚥下困難(えんげこんなん)
食べ物が喉や胸に引っかかるような感覚を覚えることがあります。
慢性的な咳
胃酸が食道を刺激し、咳を引き起こします。特に夜間に悪化することが多いです。
声のかすれ
胃酸が喉を刺激し、声がかすれることがあります。
歯の酸蝕
長期間にわたる胃酸の逆流が歯を溶かし、虫歯のリスクを高めます。
胃食道逆流症の検査・診断
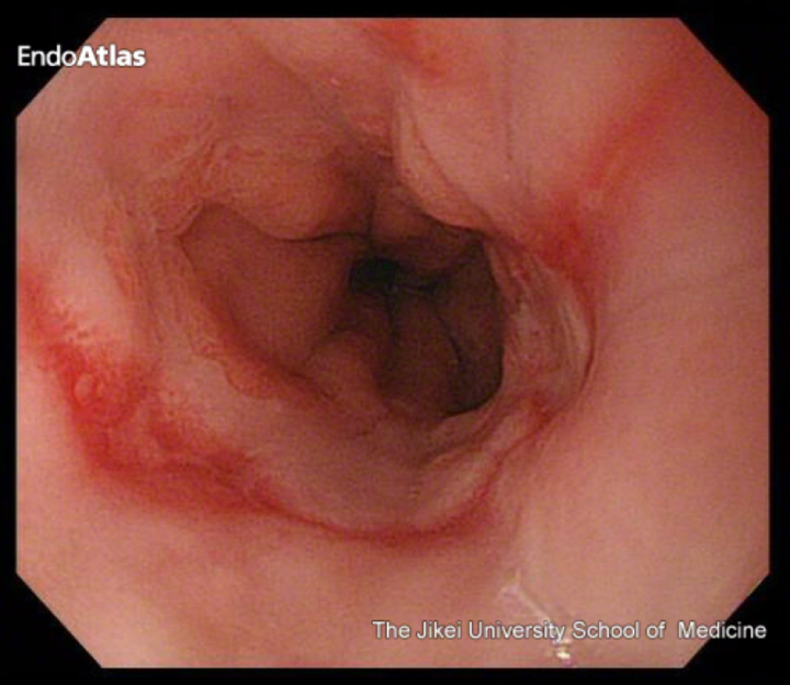
上部消化管内視鏡検査(胃カメラ)

食道粘膜の炎症やびらんの有無を確認するために行われます。
食道pHモニタリング
食道内の酸度を測定し、胃酸の逆流の程度を評価します。
食道内圧測定
下部食道括約筋の機能を評価するために行います。
胃食道逆流症の治療
胃食道逆流症の治療の目的は、胸焼けなどの症状のコントロールをすることで、日常生活が楽に過ごせるようになることです。
最も重要ですぐに行うことができるのは、生活習慣の改善です。
通常は、生活習慣の改善を行いながら、薬での治療を併用していきます。
生活習慣の改善
まずは、以下の生活習慣を見直し、改善できるところがあれば改善をしていただきます。
- 食後2〜3時間は横にならない
- 脂っこい食事や刺激物を避ける
- 適正体重を維持する
- 禁煙・節酒を心がける
- 頭を高くして寝る
- 一度に食べる量を少なくする
- 食べるスピードが速い人はゆっくりめにする
薬物療法
胃酸の分泌を抑える薬を中心に処方をします。
- プロトンポンプ阻害薬(PPI):胃酸の分泌を抑えます。
- H2受容体拮抗薬:胃酸の分泌を抑えます。PPIより効果は弱いですが有用です。
- 制酸薬:胃酸を一時的に中和します。
- 消化管運動機能改善薬:食道や胃の運動を改善することで、胃酸の胃からの排出を助けます。
外科的治療
薬物療法が無効な場合には、外科的治療が検討されます。
胃食道逆流症の予防
胃食道逆流症を予防するためには、まず日常生活の中で胃酸の逆流を防ぐ工夫が大切です。
特に、食後すぐに横にならず、食事は寝る2〜3時間前までに済ませましょう。
また、脂っこい料理や甘いもの、チョコレート、アルコール、炭酸飲料、辛いものなどは胃酸の分泌を増やし、逆流を起こしやすくするため、控えめにすることが勧められます。
食べ過ぎや早食いにも注意し、ゆっくりよく噛んで食べることも大切です。
肥満は胃にかかる圧力を高めるため、適正体重の維持も予防につながります。
さらに、ベルトやガードルなどお腹を強く締めつける服装を避ける、上半身を少し高くして眠るなど、物理的に胃酸の逆流を抑える工夫も効果的です。
日常的に胸やけなどの症状がある場合は、早めに医療機関を受診し、適切な対策をとることが予防につながります。
草加西口大腸肛門クリニックでの【胃食道逆流症】の診療
当院では、胃食道逆流症の症状でお困りの方に、丁寧で的確な診療を行っています。
まずは問診にて、胸やけや「口の中がすっぱくなる感じ」「酸っぱい液が上がってくる感じ」などの症状、生活習慣や過去の治療歴を詳しくうかがいます。
初診時に胃内視鏡検査を受けていない方や、症状が強い方には、必要に応じて胃内視鏡検査(胃カメラ)を行い、食道粘膜の状態を確認します。
治療は生活習慣の改善が基本で、寝る前の飲食を控える、脂っこい食事を減らすなどの指導を行います。
生活指導にあわせて、胃酸分泌を抑える薬を使用し、症状の改善を目指します。
症状が落ち着いた後は、再発を防ぐために最低限の薬での維持療法や、症状があるときだけ薬を使う方法も可能です。
治療効果が不十分な場合には、さらに詳しい検査や専門施設へのご紹介も行っています。
日頃から胸焼けなどの症状でお悩みの方は、一度クリニックへご相談ください。